Panner病(パンナー病)とHegemann病
Panner病 上腕骨小頭の骨端核全体の骨壊死
Hegemann病 上腕骨滑車の骨端核全体の骨壊死(上腕骨内側上顆付近に圧痛、屈曲・伸展の軽度の制限、レントゲンで上腕骨滑車骨端核の不整・分節化・部分的な透亮像)
肘に発生する骨端症で小児~若年者にみられるが頻度はまれ。
鑑別:骨折、化膿性関節炎、離断性骨軟骨炎、骨髄炎
早期診断はMRIが有効、レントゲン像は多彩で、壊死部の透亮像→硬化像の混在→均一化(1-3年の経過で変化する)
上腕骨小頭の骨端核は1歳頃に出現、徐々に骨化し10年ほどかけて完成します。一方、上腕骨滑車骨端核は10歳ぐらいで出現し2-3年で完成します。
局所の循環障害によると言われてます。離断性骨軟骨炎と同じカテゴリーの疾患として扱われることが多い。症状は関節痛、腫脹です。
内反肘や局所の成長障害を起こすことがある。
治療は局所の運動を休止して経過観察します。変形等は手術が必要な場合があります。
肘関節障害の比較表(成長期)
|
項目 |
Panner病 |
Hegemann病 |
野球肘内側型 |
野球肘外側型 |
|---|---|---|---|---|
|
好発年齢 |
4〜10歳 |
10〜14歳 |
10〜13歳 |
11〜15歳 |
|
好発性別 |
男児に多い |
男児に多い |
男児に多い |
男児に多い |
|
病変部位 |
上腕骨小頭(capitellum) |
上腕骨滑車(trochlea) |
上腕骨内側上顆(medial epicondyle) |
上腕骨小頭(capitellum) |
|
病態 |
骨端核の無腐性壊死 |
骨端核の壊死・分節化 |
骨端線の牽引障害(裂離骨折など) |
離断性骨軟骨炎(OCD) |
|
原因 |
外反ストレス+循環障害 |
外反ストレス+循環障害 |
投球による牽引力(屈筋群・MCL) |
投球による圧迫・剪断力(橈骨頭との衝突) |
|
画像所見 |
骨端核の透亮像・分節化 |
滑車骨端核の不整・分節化 |
骨端線離開、骨片形成 |
軟骨下骨の分離、遊離体形成 |
|
主な症状 |
肘外側痛、可動域制限 |
肘内側痛、可動域制限 |
肘内側痛、投球時痛 |
肘外側痛、引っかかり感 |
|
鑑別疾患 |
OCD、骨折 |
OCD、骨折 |
内側側副靱帯損傷、骨折 |
Panner病、外側上顆炎 |
|
治療 |
保存療法(安静) |
保存療法、重症例は手術 |
保存療法、骨片分離例は手術 |
保存療法、進行例は手術(ドリリングなど) |
|
予後 |
良好(自然修復) |
多くは良好 |
骨端線閉鎖前なら良好 |
病期によって異なる |
補足
Panner病と野球肘外側型(OCD)は画像所見が類似するため、MRIのT1/T2信号変化や軟骨下骨の連続性評価が鑑別に有効です。
Hegemann病は稀少疾患ですが、滑車部の骨端核障害として、内側型野球肘との鑑別が重要です。
野球肘内側型では、MCL損傷や屈筋腱障害の合併があるため、超音波やMRIによる軟部組織評価が推奨されます。
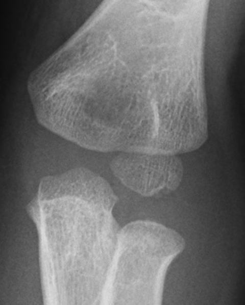
Panner病(パンナー病)
上腕骨小頭骨端核の無腐性骨壊死で、同部の離断性骨軟骨炎(OCD;osteochondritis dissecans)との鑑別が難しい。発症年齢が4-10歳と若く、レントゲン所見も上腕骨外側顆骨端核全体の不整像とまだらな透亮像を認める。
(離断性骨軟骨炎は10歳以上で、レントゲンでは上腕骨小頭前外側部に限局した病変を認めることが多い)
原因ははっきりしておらず、上腕骨小頭の循環障害の説がある。比較的稀とされるが、学会報告も少なく、千葉こども病院が4例の経験を報告しているが、2001年から2015までの15年で比較的大きな小児病院でもこの数字であるので、実際にはなかなか出くわさないと言えよう。
オーバーヘッドの運動を繰り返す子供の利き腕に起こることが多い。また外傷後に生じる例も報告されている。通常は、肘の痛みや可動域制限を訴えて来院する。レントゲン像は多彩であるとされる。経過中に、萎縮して分節化し、その後、再生していく経過をたどることが多いとされる。
通常、保存治療が行われて、痛みの程度により当初のみ外固定を追加する。オーバーヘッドの運動は控える。治療には、平均15ヶ月を要し、長期間、離脱せずに経過を見ていく必要がある。治療に時間が掛かること、生活制限があることなど、患者、家族に理解して貰うことが重要。
